
このブログは歯の画像が掲載されています。少しグロテスクな画像になりますので苦手な方は閲覧しないことをお勧めします。
はじめに
どうも都内在住メンテナンス男です。
現在、ハゲとヒゲのメンテナンスをしているわけですが、気になる箇所がもう一カ所あります。
それは「歯の黄ばみ」です。
僕はコーラとコーヒーが大好きでどちらかは必ず毎日飲みますし、なんなら両方飲む日もざらにあります。
そんな僕の歯は言わずもがな年々黄色くなってまして、色んな歯磨き粉を試してみたけれど全然効果がない・・・
安いものに期待するのはやめよう・・・ホワイトニングだ!!!!
そう決意し、ホワイトニングについて色々と調べました。
少ないお小遣いで何とか歯を白くしたい・・・
情報収集して見つけたのは「ホワイトニングテープ」
安いものに期待するのはやめようと言っときながら最安を模索してしまう、悪い癖です。
Youtubeなどでやたらと見かけるのでとても気になっていましたが、日本でAmazonなどでは購入できず、Qoo10というeBay Japanのネット通販サイトで購入が可能でした。
僕はたまたま知人が海外から帰ってくるタイミングで、そちらには普通に店頭で販売されているようだったので買って帰ってきてもらいました。
情報収集するなかで気になってる人が結構いるみたいだったので体験レポートとして随時更新していきます。
ホワイトニングテープは20日間で完了するようです。
このブログを書いている段階で一週間ほど経過しておりますが、着色しそうなものが食べられないので、一週間ごとに休憩をはさんでいます。
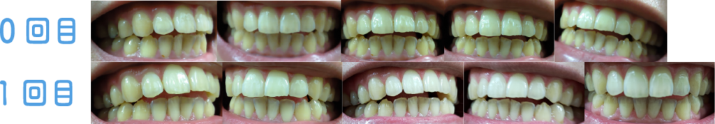
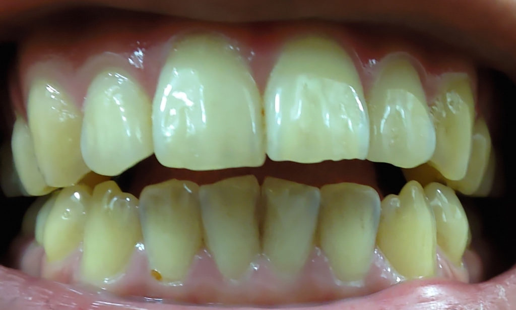
0回目
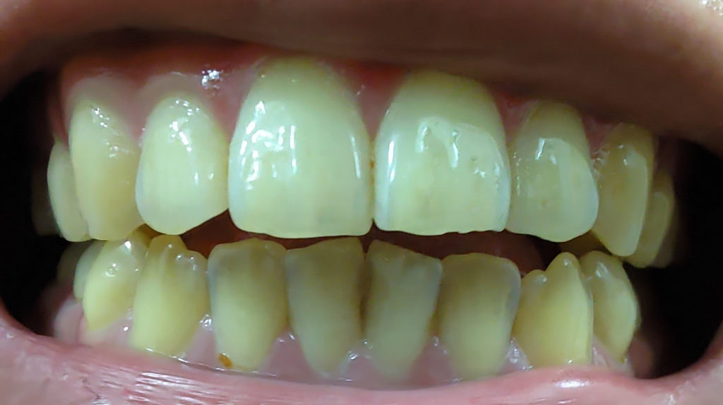
お見苦しい写真で恐縮ですがこれがホワイトニングテープを使う前までの黄ばんだ歯になります。写り具合によって色の差が結構でるみたいなので、1回につき何枚か撮影し今後比較していきます。
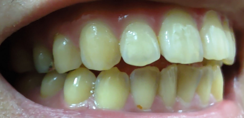
1回目

これはホワイトニングテープ仕様前と使用後を比較した画像です。色味補正がかかっているかもしれませんが白くなってる感じがしますね。

結構白くなっているように見えます。初回で落ちやすい汚れが落ちたのでしょうか?写り具合によって差がありそうですが、かなり期待できそうです。
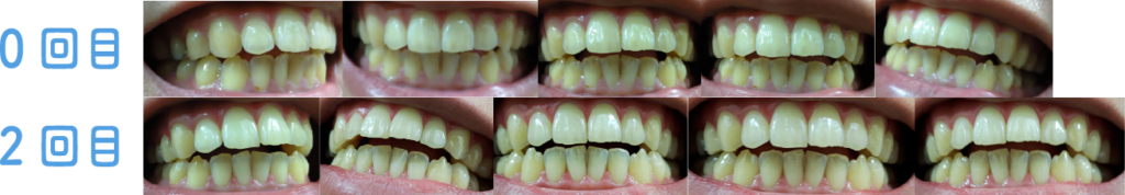
2回目


2回目はあまり大きな違いは見られませんね。
3回目


今回も1回目のような大きな違いは見られません。
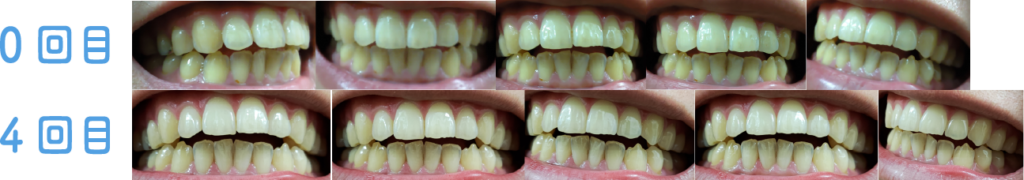
4回目


写真ではわかりづらいですが、実際に自分で見てなんとなく白くなってきたなと感じ始めました。写真では白さよりも、色んな角度で撮影した場合の黄色さの最大値が低くなってきたように思います。
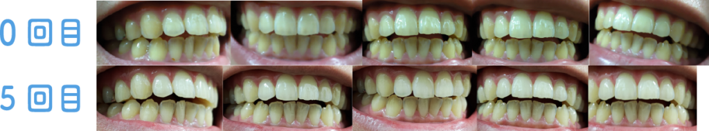
5回目


この辺りからは白くなったのをはっきり感じました。ただ、犬歯の着色がまだまだひどいですね。前歯の黄ばみはだいぶ取れてきました。
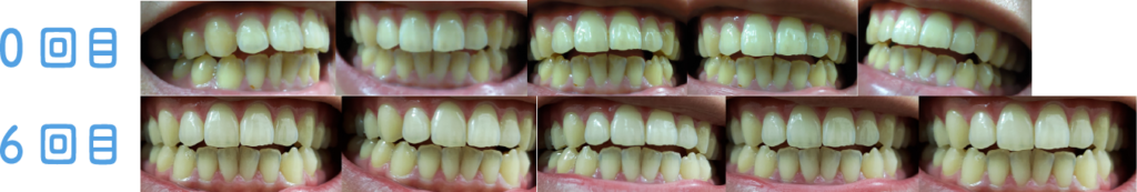
6回目


油断してたまに着色のありそうなものを食べてしまいますね。何気なく醤油なんかを使ってしまいます。
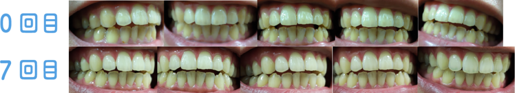
7回目


7日間1クールがこれにて終了です。個人的には写真で見るとわかりづらいですがかなり黄ばみが解消された印象です。次回からは同じ条件で写真が撮れるように何らかの対策を考えます。





